- 软件介绍
- 相关专题
- 下载地址
mriCroN免费版免费下载是行业软件分类下一款为你提供详细的医学分析操作流程电脑软件,创佳软件园小编接下来针对mriCroN软件作一番介绍,也许mriCroNv4.0的存在为大家提供了别样选择!推荐同学们下载使用。
mriCroN简介
mriCroN是一款非常实用的办公应用软件程序,也是专业人士的办公设备。它具有专业性、友好的界面设计和强大的功能特性。它帮助许多用户分析各种图像。mriCroN在医疗领域应用广泛,为用户提供了各种便捷的操作能力,也是执业医师必备的办公神器。
mriCroN软件特色
1.简单易懂的界面
主工具栏包含您可能想要使用的所有组件,如切换十字准线、钢笔工具或填充工具。
2.方便的DICOM查看器
是一个可靠且易于使用的实用程序,因此您可以在短时间内完成分析。
3.加载您的图像并选择查看模式。
允许您从“文件”菜单打开所需文件,并将其加载到主窗口中。
mriCroN安装步骤
1.下载centos 7版本的脚本。
2.输入脚本所在的目录,输入并下载压缩包。
3.解压缩到指定的目录
4.等待安装完成并注册环境变量。
5.安装成功了吗?
mriCroN使用教程
1.启动NPM并打开设计窗口。将出现一个电子表格。选择文件/打开并查看文件。
2.描述病变图并命名行为指标,选择查看/设计调出描述窗口。
3.如果需要计算统计结果,可以通过选择MRIcron的绘图/统计菜单中的项目进行一些统计。
4.NPM现在将计算需要什么。它将创建所有患者的重叠图像。
5.您可以打开生成的统计图表,并将其放在解剖扫描的顶部。
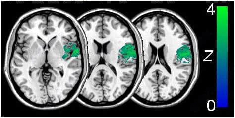
6.接下来,微软展示了覆盖图。
7.考虑左侧面板中显示的原始状态图,而中间面板已被设置为仅显示Z分数大于2.5的体素。
mriCroN系统要求
mriCroN支持如下操作系统:Win系统
对于CPU方面的要求:奔腾4以上
电脑内存方面:1024M+
存储空间:预留14.32M硬盘空间
分辨率分辨率:1024x768分辨率
mriCroN更新内容:
mriCroNv4.0更新内容
更多小惊喜等你来发现~;
优化网络连接;
其它累积bug惨复
创佳软件园小编推荐
mriCroN作为里面十分出色的软件,小编强力向您推荐,下载了就知道有多好。另外还推荐敬业签等软件推荐给您下载使用,快来下载吧
- 生活实用APP
- 安卓合集
- 软件合集
- 浏览器
- 电脑管家
- 安卓游戏
软件排行榜
热门推荐
-
Laravel
v8.42.0 / 4.37M / 简体中文
-
织梦无忧助手
v1.1.2 / 9.31M / 简体中文
-
Speedretopo
v0.0.4 / 25.76K / 简体中文
-
华医题库
v1.1.9 / 796.75M / 简体中文
-
Midas Gen
v8.75 / 680.47M / 简体中文
-
Kiosk官方版
v21.1.15.80.0121 / 79.8 MB / 简体中文
-
图档清洁专家官方版
v1.4.0.221 / 257 MB / 简体中文
-
老虎证券官方最新版
v7.5.1.0 / 81.40MB / 简体中文
-
飒特红外报告分析工具
v1.0 / 177.31M / 简体中文
-
凯元工具
v3.9.9 / 21.5M / 简体中文
装机必备软件
-
word文档密码破解工具应用软件
-
冰点还原永久免费版系统软件
-
人生日历应用软件
-
一彩送货单管理系统应用软件
-
Process View系统软件
-
开心手机恢复大师其他类别
-
pdf文件阅读器应用软件
-
视频剪辑格式工厂应用软件
-
PhotoMetri应用软件
-
specinker应用软件
-
miwifi驱动驱动工具
-
海洋色音效助手影音软件
-
乐播投屏影音软件
-
seo外链助手网络软件
-
AES安全加密记事本安全相关






